Bringen Sie Ihre Emotionen und Wünsche für Ihr neues Lächeln gerne ein – sie sind der Schlüssel zu einem Ergebnis, das Sie glücklich macht.
Mit all unserer Erfahrung und Expertise setzen wir alles daran, diese starken Gefühle in die Gestaltung einfließen zu lassen.Wir verstehen, dass ein Lächeln mehr ist als Ästhetik; es ist Ausdruck von Persönlichkeit und Selbstbewusstsein. Gemeinsam schaffen wir eine Lösung, die genau zu Ihnen passt und Ihre Erwartungen erfüllt.
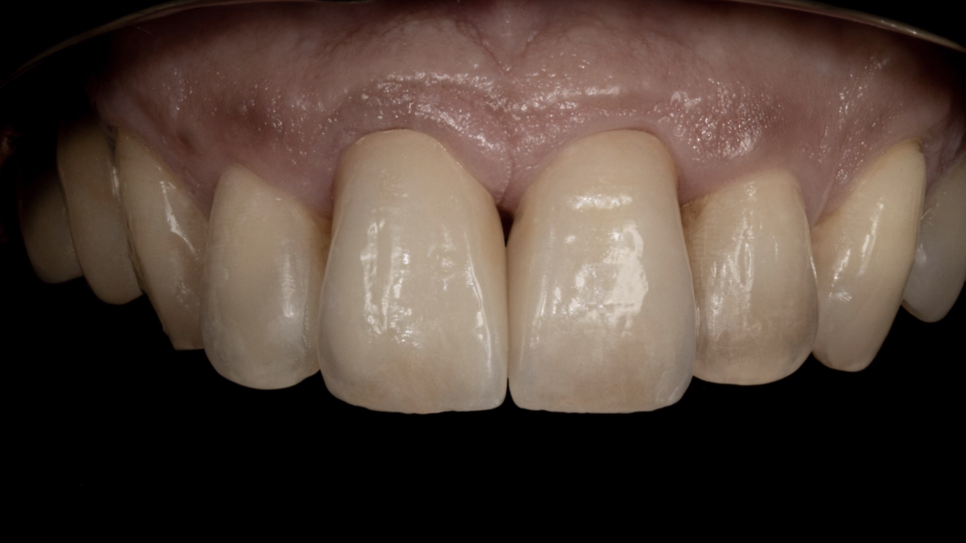
Spotlight - Blick aufs Detail
Die Herausforderung dieser Ausgangssituation besteht darin, sowohl die individuelle Charakteristik der natürlichen Zähne zu bewahren als auch eine dezente Harmonisierung zu erreichen, die dem natürlichen Erscheinungsbild möglichst eins zu eins entspricht. Die klinischen Voraussetzungen wurden mit großem Aufwand geschaffen, um diesem Anspruch gerecht zu werden und ein ästhetisch sowie funktional optimales Ergebnis zu erzielen.
Die finalen Kronen wurden in echter Manufakturarbeit mit viel Liebe zum Detail im Labor angepasst und fertiggestellt. Besonders die einzigartige Form und die sorgfältig gestaltete Oberfläche sind zentrale Merkmale und der Schlüssel zum Erfolg dieser Arbeit. Diese Präzision und Hingabe verleihen den Kronen ein natürliches und harmonisches Erscheinungsbild, das sich perfekt in das Gesamtbild einfügt.
Emotionen und Gefühle
Besonders die keramische Oberfläche ist immer wieder das Schlüsselelement dafür, ob eine Arbeit als natürlicher Zahn wahrgenommen wird oder als Zahnersatz erkennbar ist. Gerade diese diffizilen Kleinigkeiten, die wir mit großer Sorgfalt und Präzision umsetzen, zeichnen unsere Arbeit aus. Durch diese Details erreichen wir ein Ergebnis, das sich harmonisch ins natürliche Zahnbild einfügt und höchste ästhetische Ansprüche erfüllt.
